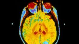
تُعالج أورام المخ الثانوية في مرضى سرطان الرئة عادة بالعلاج الإشعاعي لكامل المخ.
قال باحثون إن العلاج الإشعاعي للمخ غير مفيد بالنسبة لمرضى سرطان الرئة، الذين انتشر لديهم المرض ووصل إلى المخ، وذلك وفقا لدراسة نشرت في دورية لانسيت الطبية المتخصصة.
وأثبتت تجربة أجريت على أكثر من 500 مريض أن هذا العلاج لم يُطِل أو يحسن من جودة الحياة التي يعيشونها، مقارنة بأشكال أخرى من العلاج.
ويصاب أكثر من 45 ألف شخص بمرض سرطان الرئة سنويا في بريطانيا.
وفي نحو ثلث حالات الإصابة بهذا المرض، ينتشر السرطان إلى المخ.
وتُعالج أورام المخ الثانوية، وهي التي تظهر نتيجة سرطان في عضو آخر غير المخ، عادة باستخدام العلاج الإشعاعي الشامل للمخ، إلى جانب المركبات العضوية ووسائل علاج أخرى، وذلك لخفض الآثار الجانبية لعلاج السرطان.
لكنها يمكن أن تسبب أعراضا جانبية خطيرة، مثل الغثيان والإجهاد المفرط، والإضرار بالجهاز العصبي.
وتوصلت الدراسة، التي شارك فيها أطباء وباحثون وشملت مرضى من مستشفيات بأنحاء بريطانيا المختلفة، إلى أنه لم يطرأ أي تحسن على جودة حياة المرضى، بعد نحو أسبوع من العلاج الإشعاعي لكامل المخ.
ويصعب غالبا التنبؤ بتطور الحالة المرضية لهؤلاء المرضى.
"تسمم"
وتقول الدكتورة باولا مولفينا، استشارية الأورام بمستشفيات نيوكاسل التابعة لهيئة الخدمات الصحية الوطنية، إن العلاج الإشعاعي لكامل المخ يستخدم لأنه كان يعتقد أنه يحد من انتشار الأورام.
وأضافت قائلة "لكن في عيادات سرطان الرئة لدينا لم نشهد التحسن الذي تمنيناه لمرضانا، ونسبة البقاء على قيد الحياة ضئيلة، ولم تكد تتغير منذ الثمانينيات من القرن الماضي".
وأردفت قائلة: "أكثر من ذلك أن التسمم الناجم عن هذه التقنية يمكن أن يكون كبيرا، ويمكن أن يضر بالوظيفة المعرفية".
وتقول البروفيسورة روث لانغلي، من مجلس البحوث الطبية بكلية لندن الجامعية، إن الجراحة الإشعاعية، وهي نمط دقيق للغاية من العلاج الإشعاعي، تعد تقنية بديلة مفضلة، ولها أقل قدر من الآثار الجانبية.
لكن بعض العلماء يقولون إن العلاج الإشعاعي لكامل المخ ربما لا يزال ذا فائدة.
وفي تعليق مرتبط بالدراسة كتبت الدكتورة سيسيل لي بيشو، من معهد "غوستاف روسِّي" لأبحاث السرطان في فرنسا: "نعتقد أن العلاج الإشعاعي الأمثل لكامل المخ إذا أعطي في الوقت المناسب للمريض المناسب يمكن أن يؤدي إلى التحسن حسب حالة كل مريض".
وقال العلماء إن كل وسائل العلاج يجب أن تُناقش مع المريض، مع أخذ نتائج تلك الدراسة في الاعتبار.


.jpg)
